The image shows a black and white logo with a stylized letter  D  at its center, flanked by two laurel branches on either side.

Smile Gallery

The image displays a close-up of a person s mouth with yellowed teeth, showcasing dental issues such as discoloration and possible decay.

Before

The image shows a close-up view of a person s teeth with a broad smile, displaying a set of white teeth with a slight yellowish tint.

After

The image shows a close-up view of a person s teeth with a focus on dental treatment, likely indicating a before-and-after scenario for cosmetic dentistry services.

Before

The image shows a close-up of an individual s teeth with a focus on a yellowing appearance, possibly due to staining or age, against a pink background that suggests the interior of a mouth.

After

The image shows a close-up of a person s face with a wide smile revealing teeth, including a prominent gap between the upper front teeth.

Before

The image shows a close-up of a person s face with a smile, displaying white teeth and a pink tongue, against a blurred background.

After

The image shows a close-up view of a person s teeth with a focus on a dental implant, featuring a crown and surrounding gum tissue.

Before

The image shows a close-up view of a person s teeth with a focus on their white color and brightness, set against a neutral background.

After

The image displays a close-up view of a person s teeth with visible signs of dental decay and wear, showcasing an oral health issue requiring attention.

Before

The image shows a close-up view of a person s teeth with a focus on the front teeth, which appear to be well-maintained with white enamel and no visible damage or stains.

After

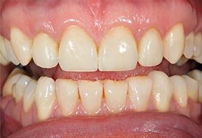
The image shows a close-up view of a person s teeth with discoloration, suggesting a need for dental care or whitening treatment.

Before

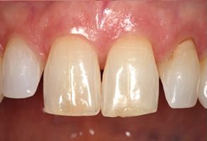
The image shows a close-up of a person s mouth with a focus on their teeth and gums.

After

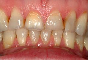
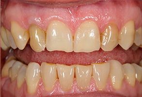
The image shows a close-up of a person s mouth with teeth that appear yellowed, possibly due to staining or discoloration, and a partial bridge with one visible tooth missing.

Before

The image shows a close-up view of a person s teeth with an emphasis on their yellowish color and possible staining, which could be indicative of dental health issues such as discoloration or tooth decay.

After

About Us

Our goal is to provide personalized, advanced dental care, preserving, enhancing, and restoring your family's smiles with expertise and compassion.

Office Hours

Monday
9:00 am - 6:00 pm
Tuesday
8:00 am - 6:00 pm
Wednesday
9:00 am - 5:00 pm
Thursday
8:00 am - 6:00 pm
Friday
8:00 am - 2:00 pm
Saturday
8:00 am - 1:00 pm
(Once a month)
Sunday
Closed

Get in Touch with Us

176 Cedar St
Suite 1
North Plainfield, NJ 07060